院内新闻
【技术领航】72岁老人摔断6根肋骨命悬一线!市二院胸外科孙振教授团队助其快速重生!
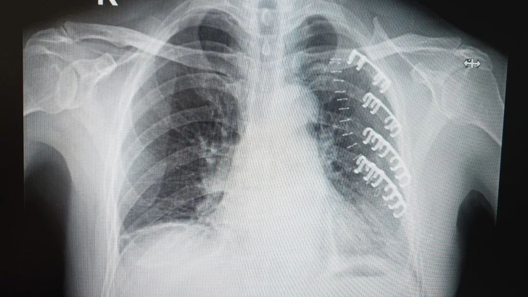
夕阳西下,本该是悠闲归家的时刻,对72岁的李大爷来说却成了惊魂瞬间。下午4点,他像往常一样骑着自行车,不料途中突发意外,连人带车重重摔倒在地!剧痛瞬间从左胸蔓延开来,李大爷面色痛苦,不仅无法动弹,胸闷、气促的感觉更让他喘不过气,120紧急将他送至葫芦岛市第二人民医院急诊科。




上一篇:【技术领航】七旬阿姨突发麻木竟是动脉瘤作祟,神经介入科钟强主任联合北京专家创新应用血流导向装置制伏颅内“隐形杀手” 下一篇:【家门口享“北京协和”诊疗】市二院妇科携手北京协和专家团队,接连攻克高危、高难手术!












统一呼叫平台