院内新闻
【疑难诊治看二院】解码“不一样的复视”!市二院神经内二科赵智江主任团队:精准区分神经系统疾病是诊治关键
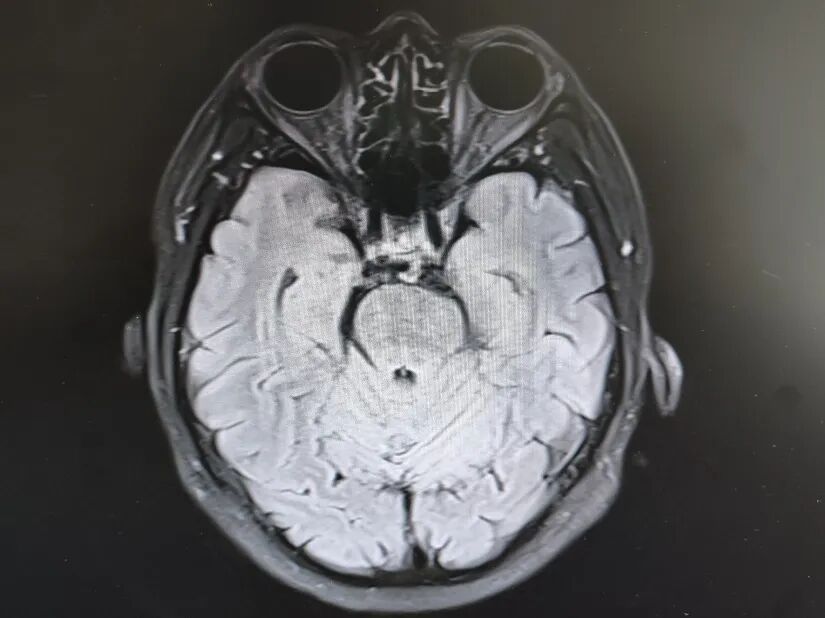
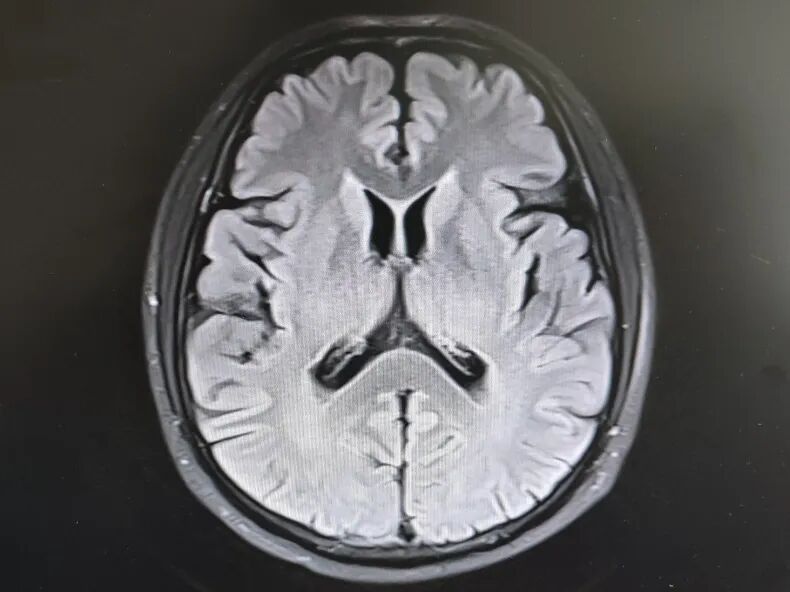
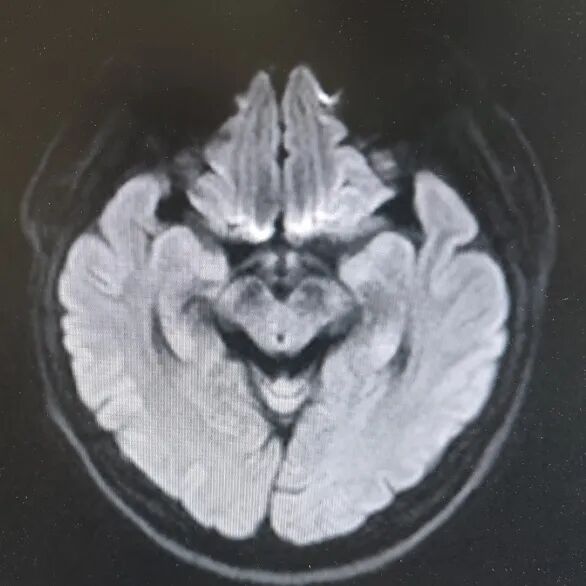
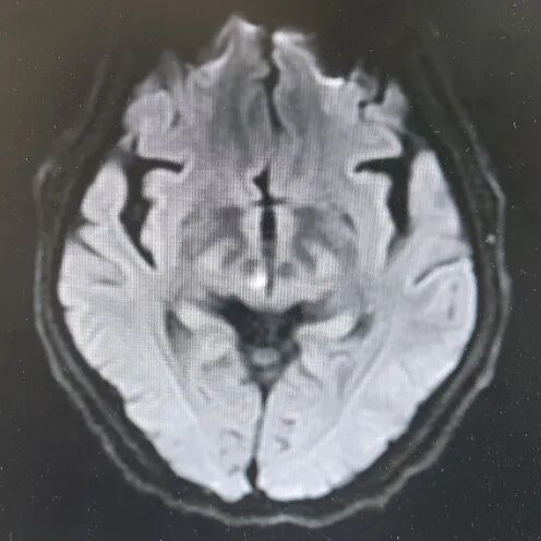
引言 生活中,很多人会突然出现“看东西重影”的情况,往往以为是眼睛疲劳或近视加深,并没有太当回事。然而,这背后可能隐藏着甲亢、脑梗、重症肌无力甚至肿瘤等十余种疾病的信号,是一个需要警惕的“隐形杀手”。 面对这类病因错综复杂的“复视”患者,市二院神经内二科赵智江主任带领团队,凭借丰富的临床经验和深厚的神经疾病诊疗功底,抽丝剥茧,多次成功揪出导致视物成双的“真凶”,为患者赢得了宝贵的治疗时机。 Part.01 复视背后,病因五花八门 神经内二科团队诊治了多位以“视物成双”为主诉的患者,其最终病因各异,充分体现了神经科疾病“同症异源”的复杂性。 以为是眼病,其实是甲亢 患者因复视就诊,经查双眼突出,影像检查发现控制眼球的肌肉异常肥厚。结合甲状腺功能检查,最终确诊为“甲亢性眼肌病”,其原因在甲状腺功能亢进的眼部表现。后经针对性纠正甲状腺功能,患者复视症状显著改善,眼外肌肥厚得到有效控制。 眼眶核磁 甲功结果 眼球状态 复视眼痛,原是痛性眼肌麻痹 患者右眼不仅看东西重影,还出现上睑下垂、眼痛等症状。团队排除其他可能后,诊断为痛性眼肌麻痹(Toloas-Hunt综合征),这是一种自身免疫性炎症。经治疗,患者眼睑下垂症状减轻,眼痛及复视基本消失,眼球运动范围显著恢复。 梅毒隐匿,损伤颅神经 患者因眼皮抬不起、眼球转动不灵并视物重影入院。常规血清检查发现梅毒抗体阳性,排除其它原因导致的复视,最终明确为“神经梅毒”侵蚀颅神经所致。确诊后立即给予驱梅治疗,效果明显,眼皮能抬起来了,重影消失了,眼球转动也灵活了。 糖尿病悄悄损伤神经 两位糖尿病患者,均以突发复视就诊。团队精准判断,发现分别是高血糖损伤了“动眼神经”和“外展神经”,属于糖尿病性单神经病变,表现为不同类型的复影(上下重影或水平重影)。明确诊断后,经严格控糖,辅以营养神经药物等综合对症治疗,患者病情好转,顺利出院。 脑梗“瞄准”不同区域 三位患者均因复视就诊,但伴随症状各异,有的行走不稳,有的走路右偏。赵智江主任团队通过精细的神经系统查体,精准定位于中脑的动眼神经核、桥脑的内侧纵束等。不同脑区梗死,复视的表现也完全不同。后通过溶栓药物、抗血小板药物、改善循环治疗等针对性治疗,辅以康复治疗,患者身体逐渐好转,出院时已无视物成双症状。 三位患者的核磁 典型信号——晨轻暮重 患者出现复视,伴言语不利、吞咽困难、饮水呛咳等症状。其中复视有个鲜明特点——早晨轻、傍晚重,疲劳后加重。经专项检查,确诊为“重症肌无力”(眼肌型)。这是一种神经肌肉接头疾病,免疫调节治疗可有效控制。经过一段时间的治疗,患者复视症状明显缓解,言语不清、吞咽困难症状得到显著改善。治疗前患者只能进食流食,治疗后可自主进食固体食物。 肿瘤病史者,需警惕转移 淋巴瘤患者在化疗期间出现复视和面瘫。团队通过脑脊液等深入检查,排除感染等因素,最终诊断为脑膜癌病。 嗜睡头晕,病因在营养 患者急性起病,表现为复视、头晕、嗜睡、走路不稳。团队结合其既往史和典型眼球活动障碍,迅速锁定病因——因维生素B1严重缺乏导致的“韦尼克脑病(Wernicke)”。补充维生素B1一周以后,患者复视症状改善、走路平稳、神志清楚,可独立行走。 Part.02 精准诊疗,揪出“元凶”是关键 赵智江主任指出:“复视只是一个临床症状,其背后可能是内分泌、炎症、代谢、脑血管、自身免疫、肿瘤等多种病因在神经系统上的投射,涉及学科广泛。” 市二院神经内二科团队通过详细追溯病史、进行一丝不苟的神经系统专科查体(尤其是眼球运动检查),初步判断病变可能位于动眼、滑车、外展神经的神经核团,神经及其所支配的肌肉、神经-肌肉接头等部位,然后精准选择并解读影像学、免疫学、生化及脑脊液等检查结果,最终整合信息,明确诊断,为患者制定出针对性的治疗方案。 市二院神经内二科在赵智江主任的带领下,始终致力于复杂疑难神经系统疾病的诊疗攻坚。科室凭借严谨的临床路径、对神经解剖与病理生理机制的深刻把握,以及精湛的诊疗技术,为众多罕见病与危重患者精准定位病因、制定个体化治疗方案,有效提升了救治成功率与患者长期生活质量。 提醒市民:如果突然出现视物重影,尤其是伴有眼皮下垂、眼球转动不灵、疼痛、头晕、行走不稳或其他神经系统症状时,切勿掉以轻心,应及时重视,这些症状有时可能与神经系统疾病相关。为了明确原因,获得更全面的评估,您可以考虑到神经内二科就诊,由专业医生进一步检查与诊断,以便尽早获得适合的照顾与治疗。 Part.03 人民医院 人民名医 赵智江 主任医师 副教授 ·葫芦岛市第二人民医院神经内二科主任 ·中国卒中学会高级会员 ·中国老年保健医学研究会老年脑血管病分会委员 ·北京神经内科学会脑小血管病学会委员 ·安徽医药杂志审稿专家 ·辽西神经疾病专科联盟理事 ·辽西认知功能障碍联盟理事 ·辽西神经免疫学会委员 ·葫芦岛市医学会神经病学分会委员 专业特色:以脑血管病为核心研究方向,擅长各类神经系统疾病的诊疗,尤其在脑血管病、帕金森综合征、头晕、头痛、癫痫、重症肌无力、多发性硬化等神经免疫性疾病以及其它神经系统疑难、危重疾病的诊疗方面积累了丰富的临床经验。 出诊时间:每周一、周四全天 咨询热线:0429-8010317
























上一篇:【技术领航】呼吸衰竭、十余种高危疾病缠身!市二院呼吸科携手多学科联手打赢“生命保卫战” 下一篇:【技术领航】携手名院,护“心”同行——市二院心脏中心成功为高危患者实施经导管主动脉瓣植入术(TAVR)!








统一呼叫平台