院内新闻
【疑难诊治看二院】老人反应变慢≠老年痴呆!市二院赵智江教授团队撕开“神经系统伪装者”假面!
前情提要
神经系统疾病千变万化、错综复杂,其中许多尤其擅长“乔装打扮”,症状隐匿且不典型,极易造成误诊、漏诊,给患者带来巨大的痛苦与健康隐患。近日,市二院神经内二科赵智江主任团队又成功“侦破”两例症状大相径庭,却皆由特殊类型神经系统感染引发的棘手病例。
病例一
眼部异常,“黑手”竟是神经感染
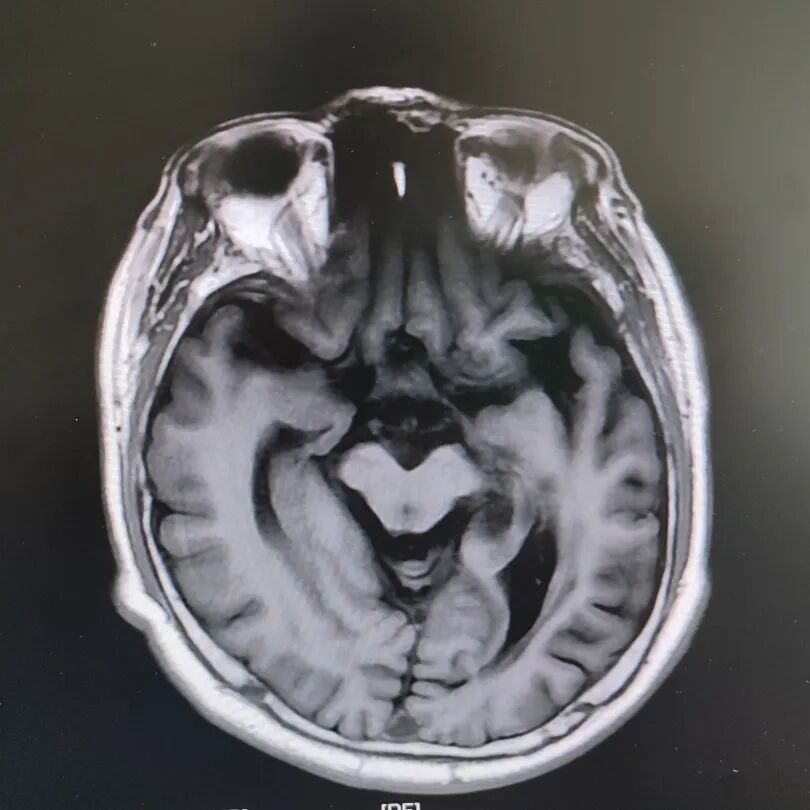
63岁的王大爷(化名),因左眼皮突然下垂、看东西重影、头晕头痛到市二院就诊。检查发现他的左眼眼睑下垂,眼球转动受限,但并没有像常见的“痛性眼肌麻痹”那样有明显疼痛。赵智江主任团队仔细询问了病史,给他做了全面检查:大爷没有糖尿病,手脚活动灵活,腱反射和共济运动正常,初步排除了糖尿病单神经病变和其它疾病。
患者头部磁共振影像
就在看似陷入僵局时,关键的血液检查结果出来了——RPR阳性!这个结果像一盏明灯,指明了方向。原来,导致大爷眼病的幕后黑手,竟是由苍白密螺旋体(引起梅毒的病原体)感染引起的神经损害。经过针对性治疗,十几天后,大爷的病情逐渐好转,眼皮能抬起来了,重影消失了,眼球转动也灵活了!
病例二
痴呆假象下的神经感染真相
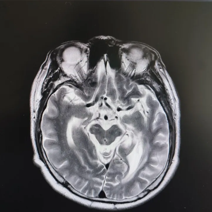
病房里还有另一位患者,来的时候情况更让人揪心:反应迟钝,表情呆滞,行动缓慢。头颅核磁显示脑萎缩明显,但查体发现肌张力、计算力、记忆力、定向力均正常,不符合典型血管性痴呆或阿尔茨海默病表现。
患者头部磁共振影像
凭着多年诊治疑难杂症的丰富经验,赵主任敏锐地意识到这“痴呆”可能是假象,背后另有隐情。他果断建议进一步做特殊感染筛查。果然,检查证实这位患者同样是感染了苍白密螺旋体!经过精准的抗感染治疗,奇迹发生了:患者的反应变快了,眼神灵活了,走路也恢复了正常步态。最终的诊断是“麻痹性痴呆”——一种由神经梅毒引起的、可治疗逆转的“痴呆”类型!
早期诊断与规范治疗是战胜神经系统感染疾病的关键。市二院神经内二科在赵智江主任的带领下,长期深耕于神经系统疑难疾病诊治,凭借丰富的临床经验和精准的鉴别诊断能力为众多辗转求医的患者指明了方向,赢得了宝贵的治疗时机。未来科室将进一步提升对罕见病、疑难病的精准识别和个体化治疗能力,帮助更多人实现早发现、早诊断、早治疗,成为滨城百姓值得信赖的神经系统健康守护者。
人民医院 人民名医
赵智江
主任医师 副教授
·葫芦岛市第二人民医院神经内二科主任
·中国卒中学会高级会员
·中国老年保健医学研究会老年脑血管病分会委员
·北京神经内科学会脑小血管病学会委员
·安徽医药杂志审稿专家
专业特色:以脑血管病为核心研究方向,擅长各类神经系统疾病的诊疗,尤其在脑血管病、帕金森综合征、头晕、头痛、癫痫、重症肌无力以及中枢神经系统脱髓鞘等神经系统疑难、危重疾病的诊疗方面积累了丰富的临床经验。主持多项重要科研项目,并将最新的科研成果应用于临床实践,撰写十余篇论文著作。
出诊时间:每周一、周四全天
出诊地点:门诊二楼神经疾病诊治中心
上一篇:【技术领航】10年旧伤致器官“错位”,市二院胸外科孙振教授团队精准手术助脏器归位! 下一篇:【坚守“医”线】节假日期间,市二院诊疗工作有序进行,做百姓健康的坚实“医靠”!







统一呼叫平台