院内新闻
【疑难诊治看二院】八旬瘫痪老人遭遇“超级细菌”侵袭,市二院呼吸与危重症医学科联合多学科展开60天生命保卫战!
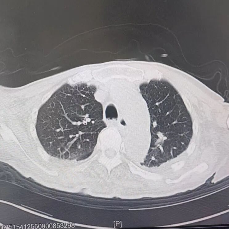
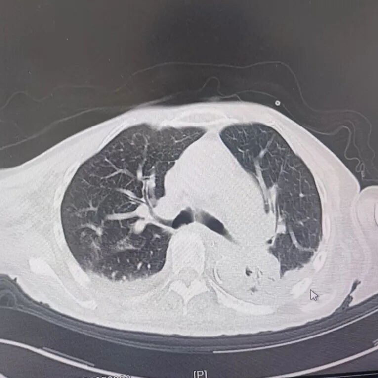
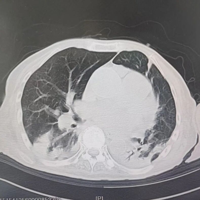
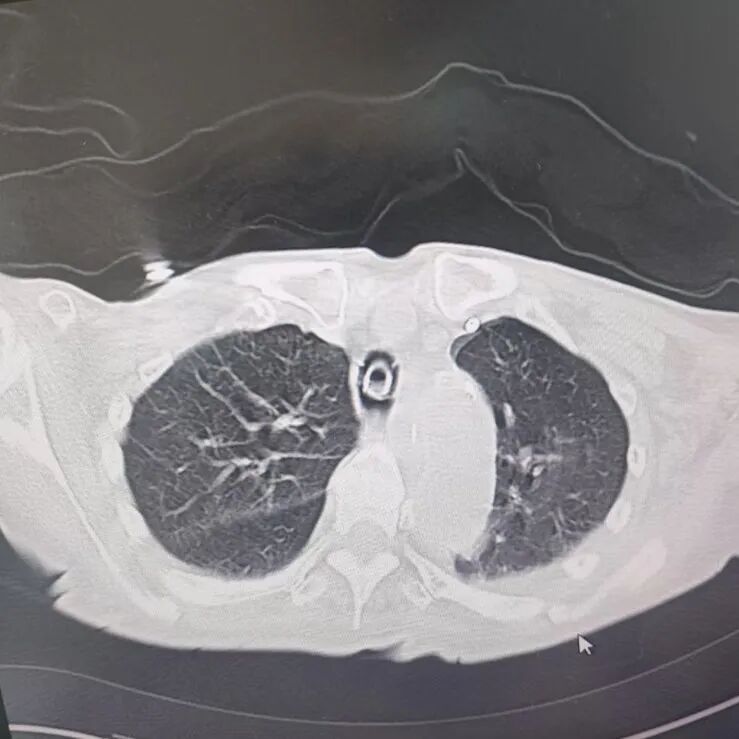
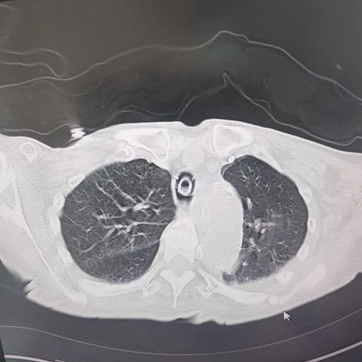
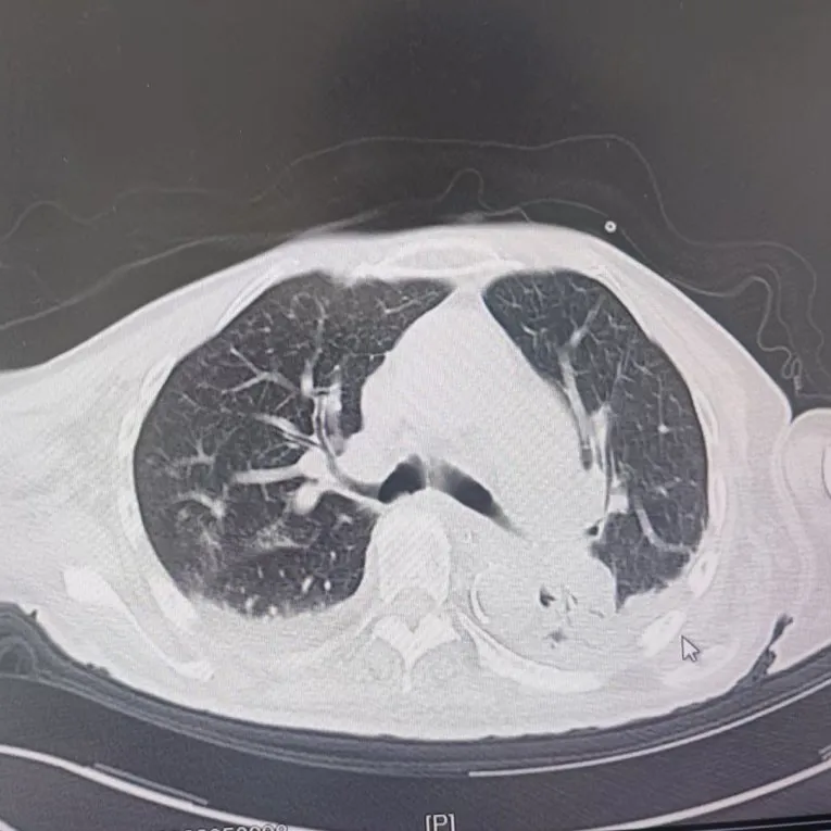
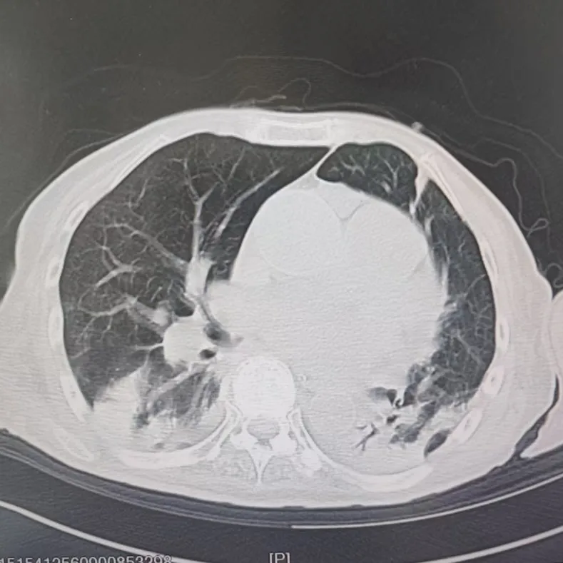
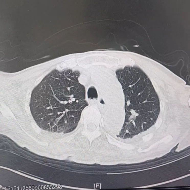
引言 / / Introduction 年近8旬的陈阿姨(化名)因脑梗长期瘫痪在床,康复期间突然高烧不退,体温升至39℃,在抗感染过程中,她并发高渗性脱水,病情急剧恶化,被紧急送入ICU。此时,她已气管切开,依靠呼吸机维持呼吸,并伴有低蛋白血症、低钾高钠血症及房颤等多种危重情况,命悬一线! PART. 01 多重泛耐药菌叠加大量基础病 治疗陷入“死胡同” 呼吸与危重症医学科及ICU通力协作,稳住患者生命体征。治疗过程中,进一步的病原学检查结果令人心惊:陈阿姨的肺部遭遇多种“超级细菌”混合侵袭,包括铜绿假单胞菌、鲍曼不动杆菌、嗜麦芽窄食单胞菌、金黄色葡萄球菌、木糖氧化无色杆菌、粘质沙雷菌等高度耐药菌,堪称耐药菌“大本营”。这些细菌对常用抗生素几乎全部耐药,治疗难度高,死亡率高。 治疗前患者肺部影像 PART. 02 多学科强强联手 量身定制攻坚方案 面对无药可用的困境,呼吸科没有放弃!宋刚主任带领团队联合药学部、检验科、重症医学科成立多学科治疗组,根据患者身体情况实时调整用药,逐一攻破耐药菌。这场与“超级细菌”的拉锯战持续了30多个日夜。 在医护日夜坚守和家属全力配合下,陈阿姨的感染终于被遏制:高烧退了,肺部阴影消散了!就在即将宣告胜利时,又发现她存在泌尿感染问题,随即转入泌尿外科协同治疗。当宋主任回访时,看到陈阿姨精神焕发、体温平稳,所有参与救治的人都感慨万分!这场救治,正是呼吸与危重症医学科攻坚耐药菌硬实力的生动体现! 治疗后患者肺部影像 从“无药可用”到“绝处逢生”,此次成功救治,集中体现了呼吸与危重症医学科以耐药菌精准诊治为核心的学科特色与技术优势。面对一次次的严峻挑战,科室始终秉持“生命至上、知难而进”的信念,以多学科协作为平台,凭借个体化精准用药策略,为患者寻找生机,为更多陷入困境的患者和家庭带去了实实在在的希望。 PART. 03 人民医院 人民名医 宋刚 主任医师 ·葫芦岛市第二人民医院呼吸与危重症医学科主任 ·辽宁省生命科学学会东北呼吸与危重症医学(PCCM)分会辽宁省基层委员会副主任委员 ·辽宁省细胞生物学学会放射粒子治疗专业委员会理事 ·辽宁省抗击新冠肺炎疫情先进个人 ·葫芦岛市劳动鉴定委员会专家库成员 ·葫芦岛市医学会呼吸内科学分会第三届委员会副主任委员 专业特色:擅长呼吸系统疑难及急危重患者的救治,如急慢性支气管炎、支气管哮喘、慢性阻塞性肺疾病、肺炎、肺栓塞、肺癌、间质性肺疾病、睡眠呼吸暂停综合征等,尤其擅长有创无创机械通气、支气管镜下相关检查及治疗(TBNA、气道支架置入术、球囊扩张等)、全肺灌洗术等领先技术,发表国家级期刊多篇。







上一篇:【“躺瘦”黑科技】市二院健康体重管理门诊开展“瘦局部”项目,让您躺着就能瘦! 下一篇:【辽西首例】告别“大象腿”,市二院显微功能重建外科微创手术破解肢体淋巴水肿难题,术后随访见证显著疗效!








统一呼叫平台