院内新闻
【技术领航】肺炎久治不愈,警惕“肺炎型肺癌”!市二院呼吸与危重症医学科宋刚主任团队精准揪出“伪装者”
前情提要
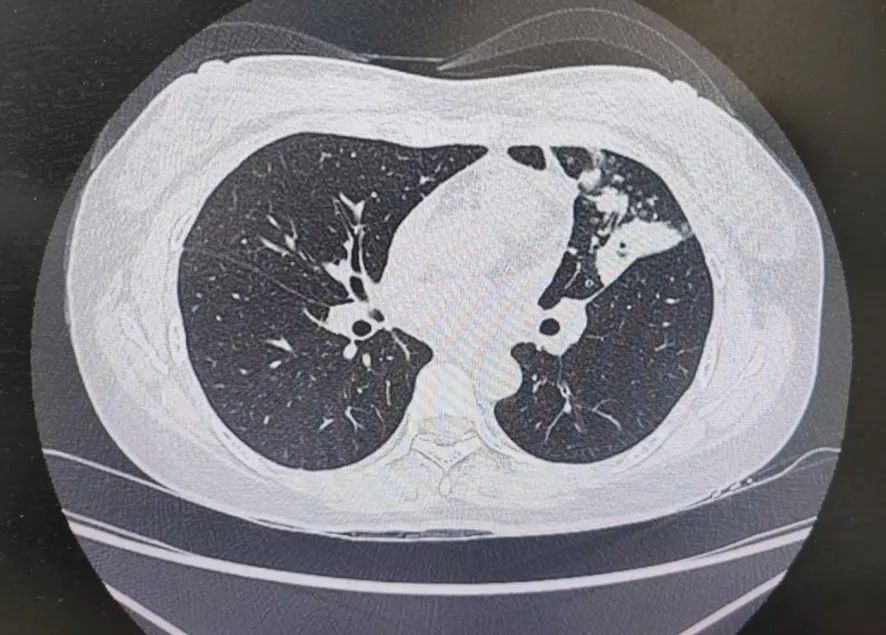
46岁的陈女士(化名)从未想过,一场看似普通的“感冒”会将她拖入危局。起初只是咳嗽、咳白痰,经规范抗感染治疗一周后,CT影像上的肺部阴影竟纹丝不动,这立即引起市二院呼吸与危重症医学科宋刚主任的警觉:“肺炎治疗后病灶无吸收,可能是危险信号!”
三步破局,让“伪装者”无所遁形
患者肺部CT影像
“一般来说,肺炎经过一周的抗感染治疗,病灶会有所吸收。但陈女士的肺部阴影纹丝不动,这种情况必须提高警惕。”宋刚主任团队立即启动了更深入的“三部精准诊断”程序:
1、支气管镜探查:快速排除气道新生物;
2、肿瘤标志物追踪:多项血清指标显著升高,直指肿瘤可能;
3、CT引导下穿刺活检:病理诊断为左肺上叶腺癌。
患者病理结果
肺炎型肺癌,因其影像学表现与普通肺炎极为相似,临床上误诊率极高。然而确诊仅是第一步。宋刚主任当天即召集肿瘤科、病理科、影像科等多学科专家会诊,为陈女士制定个体化治疗方案。
目前患者已接受系统治疗,病情趋稳。这场胜仗的背后,是团队对国际肺癌诊疗指南的深度掌握与应急决策力的体现!
深耕学科建设,守护呼吸健康
“肺癌早诊是一场生死竞速”,宋刚主任强调,“久治不愈的肺炎,必须警惕三件事:复查影像看吸收、追踪肿瘤标志物、果断病理活检。”
在宋刚主任带领下,科室已成为省内首批同时斩获 “国家呼吸医疗质量哨点医院” 与 “PCCM规范化建设示范单位” 认证的团队,诊治了大量呼吸系统疑难杂症,如免疫检查点抑制剂相关性肺炎、复杂性嗜酸性肉芽肿性多血管炎等。这些成果背后,是团队对标国家行业标准、持续引进国际前沿技术的长期坚守。未来,科室将持续以精准医疗守护群众呼吸健康,为更多患者点亮生命希望。
科普专栏
你知道吗,口腔分泌物能引起吸入性肺炎!
人民医院 人民名医
宋刚
主任医师
·葫芦岛市第二人民医院呼吸与危重症医学科主任
·辽宁省生命科学学会东北呼吸与危重症医学(PCCM)分会辽宁省基层委员会副主任委员
·辽宁省细胞生物学学会放射粒子治疗专业委员会理事
·辽宁省抗击新冠肺炎疫情先进个人
·葫芦岛市劳动鉴定委员会专家库成员
·葫芦岛市医学会呼吸内科学分会第三届委员会副主任委员
专业特色:擅长呼吸系统疑难及急危重患者的救治,如急慢性支气管炎、支气管哮喘、慢性阻塞性肺疾病、肺炎、肺栓塞、肺癌、间质性肺疾病、睡眠呼吸暂停综合征等,尤其擅长有创无创机械通气、支气管镜下相关检查及治疗(TBNA、气道支架置入术、球囊扩张等)、全肺灌洗术等领先技术,发表国家级期刊多篇。
出诊时间:每周二、周四全天
上一篇:【特色护理门诊】“专业护理,用心服务”市二院伤口造口护理门诊,让难愈伤口重获新生 下一篇:【技术领航】中医破局“头号杀手”!王崇权主任团队以中西医结合方案重塑心血管康复之路







统一呼叫平台