院内新闻

【技术领航】加湿器“闯祸”致过敏性肺炎,市二院呼吸与危重症医学科宋刚主任“精准出招”解危机

前言

北方天气较为干燥,加湿器因此成为了许多家庭钟爱的实用小电器。然而,如果加湿器使用不当,也可能带来意想不到的健康隐患。近日,我院呼吸与危重症医学科接诊了一位因加湿器使用不当而引发外源性过敏性肺泡炎(过敏性肺炎)的患者。让我们深入了解这一病例,从根源上避免此类疾病。


病例导入

张先生20余天前无明显诱因出现发热,体温最高39℃,伴有咳嗽、咳痰、气短、乏力等症状,当地医院肺部CT检查结果显示为“肺炎”。经过4天的对症治疗,张先生发热、咳嗽、咳痰症状未见好转。随后,他前往另一家医院继续治疗,虽症状有所缓解,但气短和喘息依然困扰着他,活动后甚至明显加重。

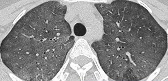
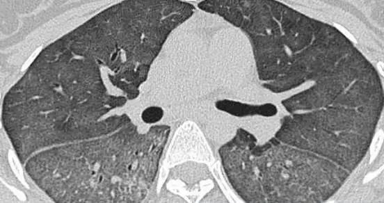
图片
图片

外源性过敏性肺泡炎肺部影像

为寻求进一步诊治,张先生来到了我院。呼吸与危重症医学科宋刚主任详细审阅了张先生的肺部CT片和相关检验报告,并询问了接触史,最终确诊张先生患有外源性过敏性肺泡炎

据张先生描述,由于空气干燥,家中经常使用加湿器,但很少清理。这种错误的使用方式会导致加湿器霉菌繁殖旺盛,霉菌随着水雾飘散在室内,最终成为致病的元凶。

图片

宋刚主任提醒大家,家中的空调和加湿器应定期清洗、适度使用,保持室内空气流通,以预防相关疾病的发生。一旦出现咳嗽、呼吸困难等症状,应及时就医检查,以便尽早诊断和治疗,避免因不及时治疗演变成慢性肺炎,进而导致肺间质纤维化,危及生命。

市二院呼吸与危重症医学科是“国家呼吸与危重症医学科(PMCC)规范化建设单位”、省内首批“国家呼吸医疗质量与管理哨点医院”,拥有专业的医疗团队、国内领先的仪器设备,致力于解决呼吸系统各类复杂疾病,特别是呼吸衰竭、慢性阻塞性肺疾病、肺部感染性疾病、间质性肺疾病、支气管哮喘等疾病的诊疗,旨在为患者提供全面、专业、高效的医疗服务。



关于外源性过敏性肺泡炎

图片

什么是外源性过敏性肺泡炎?

外源性过敏性肺泡炎(HP),也称过敏性肺炎,是一种由反复吸入某些具有抗原性的有机粉尘所引起的过敏性肺部炎症。过敏性肺炎比较明显的特征就是间质性肺炎、肉芽肿、细支气管炎,其症状包括咳嗽、咳痰、呼吸困难、发热、乏力和胸痛等,影像学表现为弥漫性肺部改变,以中上肺叶为主。

外源性过敏性肺泡炎的病因

 HP因反复接触抗原而致敏发病。目前已知抗原超过300多种,主要包括:微生物因素,细菌以嗜热放线菌最为常见,真菌以曲霉和青霉多见;动植物蛋白以鸟类蛋白最为常见,其排泄物和皮毛均可致病;化学致敏物质。

图片



人民医院 人民名医

图片

宋刚

主任医师

·葫芦岛市第二人民医院呼吸与危重症医学科主任

·辽宁省生命科学学会东北呼吸与危重症医学(PCCM)分会辽宁省基层委员会副主任委员

·辽宁省细胞生物学学会放射粒子治疗专业委员会理事

·辽宁省抗击新冠肺炎疫情先进个人

·葫芦岛市医学会呼吸内科学分会第三届委员会副主任委员

专业特色:急慢性支气管炎、支气管哮喘、慢性阻塞性肺疾病、肺炎、肺栓塞、肺癌、间质性肺疾病、睡眠呼吸暂停综合征等呼吸系统常见疾病以及急、危、重病人的救治。

出诊时间:每周二、周四全天

咨询专线:0429-8010115


上一篇:【名医加盟】首都医科大学附属北京世纪坛医院放射中心主任王仁贵教授加盟市二院,精准影像破解疑难病! 下一篇:【技术领航】16岁少年疾病缠身再遇血管“堵死”,血管介入科微创抽栓逆转重度水肿危机!

  • 统一呼叫平台