院内新闻
【技术领航】显微镜下“精准拆弹”,市二院神经外科桑文渊主任团队成功完成巨大非典型脑膜瘤手术!
前
情
提
要
在脑膜瘤中,有一种特殊的类型——非典型脑膜瘤,其生长方式更为隐蔽,发展速度较快,易复发,且常因体积大、位置深而给手术治疗增添极大难度。近日,神经外科桑文渊主任团队成功完成一例复发矢状窦旁大脑镰旁巨大非典型脑膜瘤手术,为患者带来了新生。
Vol.01
突发脑梗
检查意外发现巨大脑膜瘤
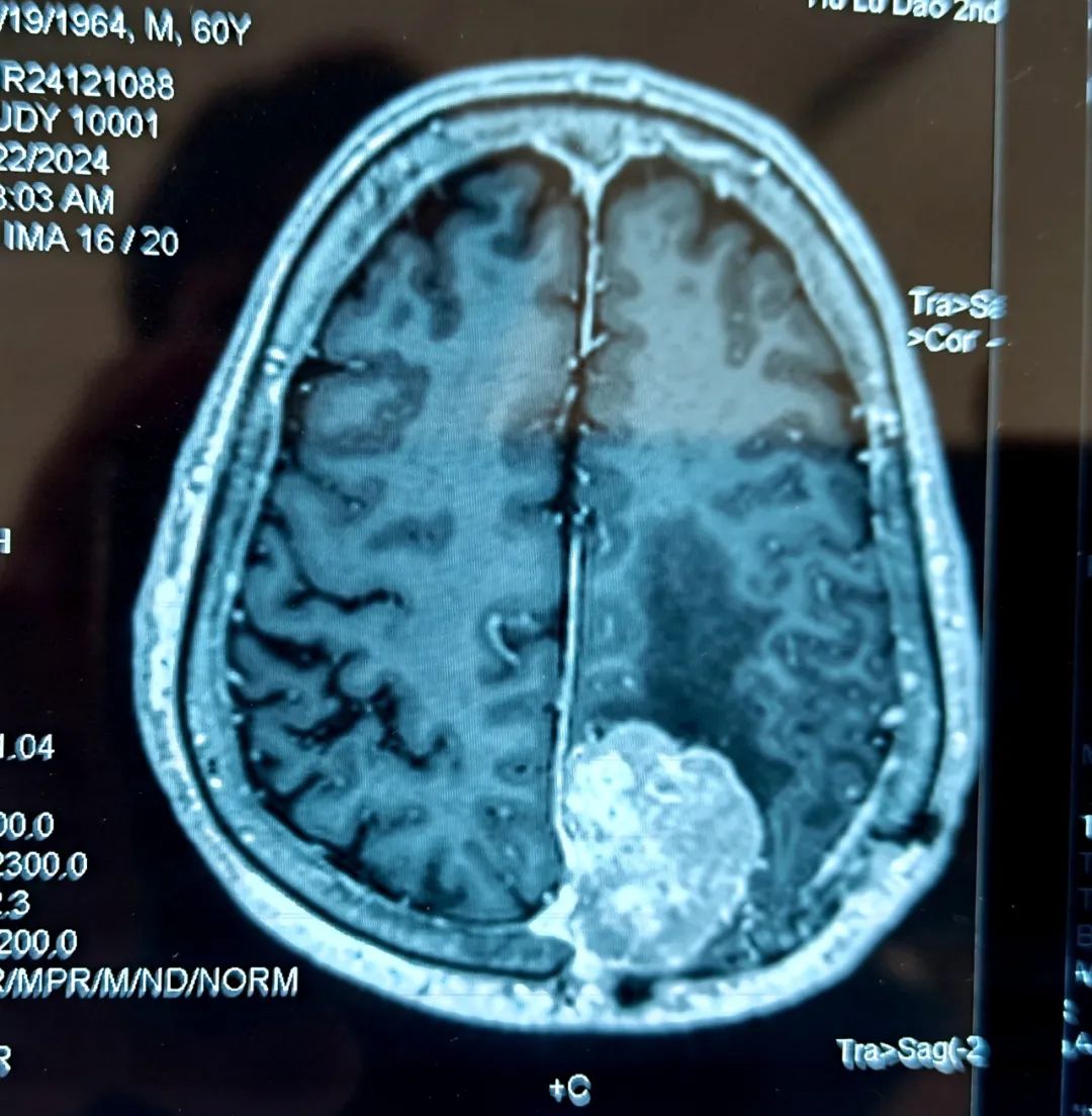
患者为60岁男性,十年前在北京某医院行右顶部矢状窦旁脑膜瘤切除术,因肿瘤侵蚀颅骨,当时切除肿瘤后同时给予部分颅骨切除一期颅骨修补术,病理诊断为非典型脑膜瘤,术后未行放疗,也未定期复查CT及MRI。三个半月前,患者因脑梗塞住院,检查时却意外发现脑膜瘤复发,且肿瘤最大直径已达5.2cm,属于巨大脑膜瘤。
- 患者术前核磁 -
情况紧急,神经内科立即邀请神经外科桑文渊主任会诊。桑主任经过询问患者病史、查体、阅片后,明确复发脑膜瘤的诊断,并与患者家属仔细沟通,表明肿瘤体积巨大且患者有头痛症状,需要待脑梗塞病情稳定后再次行手术切除肿瘤。经过耐心的病情剖析,家属对于手术的必要性表示理解。
Vol.02
技术精湛
显微镜下精准除瘤
经过一段时间的治疗与康复,患者脑梗塞病情稳定,于是来到神经外科住院,并要求由桑文渊主任亲自主刀手术。经过积极术前准备及多学科会诊、术前评估,近日在麻醉科手术室的保驾护航下,桑文渊主任团队成功为患者实施了手术。
因为肿瘤向后方生长,需要在原骨窗基础上再向后方扩大骨窗才能充分显露肿瘤。肿瘤血运丰富,肿瘤基底与矢状窦及大脑镰紧密粘连,术中桑主任在显微镜下仔细离断肿瘤基底血供以减少出血,瘤内切除部分肿瘤减容后,再分离肿瘤周边完全切除肿瘤,然后再一期行颅骨缺损修补术。
经过团队成员的共同努力,手术顺利完成,患者安返病房。术后在神经外科护理团队的精心护理下,患者病情恢复良好,言语及四肢功能无任何障碍,术后一周便可行走自如。
- 患者术后核磁 -
市二院神经外科是全市成立最早、设备最先进、技术力量最强的专科科室,是首都医科大学三博脑科医院医联体核心合作医院、国家临床重点专科三博神经外科专科联盟核心成员,特邀中国百强名医——首都医科大学三博脑科医院著名神经外科专家闫长祥教授、张宏伟教授等名院专家来院手术。近年来,市二院神经外科在桑文渊主任的带领下,医疗技术水平显著提升,已成功应用显微神经外科和微创神经外科技术治愈了大量难治性神经系统疾病患者、脑肿瘤患者及颅脑外伤患者,为区域内乃至更广泛地区的患者带来了福音!
脑膜瘤科普
脑膜瘤绝大部分都是良性肿瘤,通常病理分级(WHO)分为三个级别(也有四级分法),Ⅰ级是良性肿瘤,手术全切后可以彻底治愈,预后良好;Ⅱ级是非典型脑膜瘤,介于良性与恶性之间,肿瘤细胞增殖活跃,容易复发,术后需要放疗;Ⅲ级(包括四级分法的Ⅳ级)属于恶性脑膜瘤,肿瘤增殖能力强且生长快,侵犯周围组织,复发快,预后较差,术后需要放化疗。
脑膜瘤术后一定要定期复查CT或MRI,特别是二级以上脑膜瘤容易复发,一定要复查,争取在肿瘤较小时及时发现、及时手术。肿瘤越大,越容易与周围血管神经粘连甚至包裹,手术损伤越大,全切率越低,风险越高。
Vol.03
人民医院 人民名医
- 桑文渊 -
主任医师 硕士研究生导师
·葫芦岛市第二人民医院神经外科主任
·中华医学会神经外科分会会员
·世界神经外科协会联盟(WFNS)会员
·中国医药教育协会神经肿瘤专业委员会委员
专业特色:从事神经外科疾病尤其是脑血管疾病的显微外科治疗及临床技术研究,善于处理神经外科各种疑难复杂疾病,擅长脑肿瘤(脑膜瘤、胶质瘤、室管膜瘤、垂体瘤、淋巴瘤、神经鞘瘤等),椎管内肿瘤(包括脊膜瘤、神经鞘瘤等)、小脑扁桃体下疝、脊髓空洞症、脊髓栓系综合征、三叉神经痛、面肌痉挛、脑积水、脑脓肿、重度颅脑损伤、脑出血等疾病的手术治疗,完成各类神经外科疑难手术万余台。
上一篇:【填补辽西空白】葫芦岛市第二人民医院重症康复科正式开科,为重症患者搭建新生之路! 下一篇:【专病专治 精准就医】葫芦岛市第二人民医院肺结节MDT门诊,肺结节“一站式”精准诊疗







统一呼叫平台